阿米朗癌症治疗的核心

阿米朗的独特优势

阿米朗医院从癌症诊断到治疗、康复全程
始终以患者的生活为中心,实践温暖的医疗。

癌症,只要不放弃,就还没有结束

以持续研究为基础的
正确的癌症治疗

与普通细胞不同,癌细胞拥有不断变异的DNA并持续分裂,
因此仅依靠单纯的免疫治疗
很难彻底战胜癌症。
因此,癌症治疗必须以已验证的疗法与持续的研究成果为基础,制定正确的治疗方向,这比什么都重要。 阿米朗医院并非只依赖短期治疗,
而是在与癌细胞的长期抗争中,
始终陪伴在患者身边。

阿米朗特别之处,其一

充实完善的 癌症治疗设备基础设施

阿米朗医院配备了22台高频热疗设备、3台高压氧治疗舱等多种先进设备。
充足的设备基础设施能够让患者无需等待,享受稳定而集中的治疗环境。

高频热疗设备
22台 配备
高频热疗

通过提升体温增强免疫力,
并选择性去除对热敏感的癌细胞。

高压氧治疗舱
3台 配备
高压氧治疗

将高浓度氧气深层输入体内,
有助于组织再生、减轻炎症,
并加速抗癌治疗后的恢复。

阿米朗特别之处,其二

患者个性化的 综合治疗方案

采用高频热疗、高压氧治疗、免疫治疗等多种治疗方式,
根据患者状态进行最优化的治疗。
以患者的情况和需求为基础的个性化方案,能够最大化治疗效果并守护生活质量。

高频热疗
查看详情
高压氧治疗
查看详情
高剂量维生素C治疗
查看详情
干细胞治疗
查看详情
阿米朗特别之处,其三

众多治疗案例验证的信赖

即使在被告知无法好转的瞬间仍未放弃的人们,
与他们同行的结果证明:改变是可能的。 与阿米朗一起,
重新回归日常的故事为您呈现。

查看详情
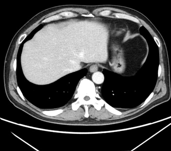
2024.1.30 治疗前
2024.5.21 治疗1个月后
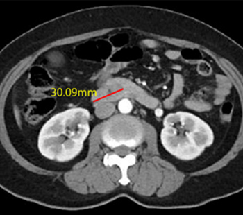
2023.2.2 腹部CT
2025.3.14 腹部CT
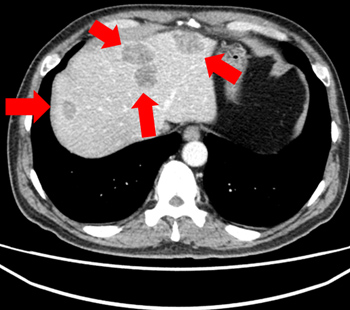
2025.1.16 CT
2025.4.9 CT
胰腺 低分化腺癌 4期 诊断
实施抗癌治疗 & 高频热疗
伴随肺转移的肝癌 4期 诊断
10日集中 高频热疗 实施
肝内胆管癌 4期
60日集中 高频热疗 实施
PI-PRADS 5 诊断,组织检查前治疗
20日集中 高频热疗 实施
  • 阿米朗诊所
  • 京畿道 水原市 长安区 经水大路1044号街 4 1~5层
  • 代表人:金善万
  • 营业执照号码:696-14-01942
  • 电话:1670-8898
  • 邮箱:amirangclinic@naver.com
COPYRIGHT © 阿米朗诊所. ALL RIGHTS RESERVED.